Arthrose entsteht durch Verschleiß des naürlichen Gelenkknorpels.
Am gesunde Gelenk überzieht der Knorpel den Knochen mit einer glaltten Oberfläche und ermöglicht zusammen mit der zähflüssigen Gelenkflüssigkeit ein "reibungsloses" Bewegen.Im Laufe der Zeit rauht der Knorpel langsam auf und bildet feine Einrisse. Da der Knorpel ein nicht durchblutetes Gewebe darstellt, besitzt er keine Regenerationsfähigkeit. Somit nehmen die Schädigungen immer mehr zu, der Knorpel nimmt weiter an Höhe ab und schließlich reibt Knochen auf Knochen. Dies führt zu Schmerzen und Bewegungseinschränkung des betroffenen Gelenkes.
Oft sind von der Arthrose die Hüft- und Kniegelenke betroffen. Grundsätzlich können aber alle anderen Gelenke auch erkranken: Wirbelgelenke, Schulter-, Sprunggelenk und die kleinen Fingergelenke.
Gelenkverschleiß tritt häufig im Alter auf, andererseits können Fehl- oder Überlastungen im Beruf oder beim Sport zu vorzeitiger Arthrose führen.
Risikofaktor Nummer eins für die Kniegelenksarthrose ist aber das Übergewicht.
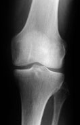
Gesundes Knie Röntgenbild eines gesunden Kniegelenkes mit normalem Gelenkspalt.
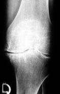
Arthrose Röntgenbild eines "Arthrose" Kniegelenkes mit starker Knorpelabnutzung und Gelenkspaltverschmälerung.
Therapiemöglichkeiten der Arthrose:
- Allgemeine Maßnahmen:
Kräftige Muskeln und elastische Bänder schützen die Gelenke. Um beides zu erhalten ist ein regelmäßiges Training notwendig. Kniegelenk freundliche Sportarten sind z.B. Schwimmen, Radfahren, Walking, Gymnastik oder Skilanglauf.
Anzustreben ist eine Gewichtsreduktion zur Entlastung der Hüft- und Kniegelenke.
- Krankengymnastik:
Eine gezielte Übungstherapie kann durch eine Verbesserung der Gelenkbeweglichkeit und durch Kräftigung der Muskulatur den Arthroseprozess nicht aufhalten aber zumindest den Arthroseschmerz vermindern.
- Physikalische Therapie:
Wärme- und Kältebehandlung. Die Wärmeanwendung ist vor allem zur Verbesserung der Trophik bei chronischen Erkrankung geeignet, die Kältetherapie ist bei akut entzündlichen Veränderungen angezeigt.
Elektrotherapie.Diadynamische Ströme besitzen einen schmerzlindernde Wirkung. Bei der Iontophorese bewirkt eine Gleichstrombehandlung die verbesserte Aufnahme von Salben über die Haut. Hochfrequenztherapie führt zu einer Wärmeentwicklung in tiefen Gewebschichten. Ultraschalltherapie. Bei dieser Behandlung kommt es zur Auflockerung des Gewebes und sie wird vorwiegend zur Behandlung von Tendinosen und zur Auflösung von Sehnenverklebungen eingesetzt.
- Medikamentöse Therapie:
Medikamente mit dem Wirkstoff Paracetamol und die nichtsteroidalen Antirheumatika (NSAR) werden zur Schmerzlinderung und Entzündungshemmung eingesetzt. Diclofenac und Ibuprofen sollten jedoch nicht über längere Zeit eingenommen werden, weil es dann zu unerwünschten Magen-Darm-Problemen kommen kann. Die sog. COX-2-Hemmer sind diesbezüglich besser verträglich, belasten jedoch das Herz-Kreislaufsystem.
Mit den Nahrungsergänzungsstoffen Glukosamin und Chondroitinsulfat kann die Ernährung des Knorpels verbessert werden, die Wirksamkeit der Einnahme ist z.Z. aber wissenschaftlich noch nicht gesichert.
- Intrartikuläre Injektionen mit Hyaluronsäure:
Im gesunden Gelenk füllt die Gelenkflüssigkeit (Synovia) den Gelenkspalt aus und schützt die Knorpeloberfläche. Hauptbestandteil dieser Gelenkflüssigkeit ist hochmolekulare Hyaluronsäure. Im Verlauf des Arthroseprozess verliert die Gelenkflüssigkeit allmählich ihre Schmierfähigkeit und Stosselastizität durch die Abnahme der Konzentration und des Molekulargewichtes der Hyaluronsäure.
Bei der Behandlung der Arthrose spielt die Reviskosierung der Gelenkflüssigkeit eine große Rolle.
Hierzu injiziert der Orthopäde Hyaluronsäurepräparate direkt in den Gelenkspalt. Diese Anwendung sollte in wöchentlichem Abstand mit in der Regel 5 Injektionen erfolgen.
Mit der Verbesserung der Gelenkschmiere wird das Fortschreiten der Arthrose gemindert. Die Entzündung im betroffenen Gelenk geht zurück und der Knorpel wird nicht weiter geschädigt. Je nach Schweregrad der Arthrose kann die Wirkung dieser Spritzenkur über 9 bis 12 Monate anhalten.
Die Kosten der Behandlung mit Hyaluronsäurepräparaten wird zur Zeit von den gesetzlichen Krankenkassen nicht übernommen.
- Operative Behandlungen und künstlicher Gelenkersatz:
Arthroskopische Operationen
Mit der Gelenkspiegelung kann der operierende Arzt in das Gelenk einsehen, Abriebprodukte hinausspülen und aufgerauten Knorpel glätten. Das Kniegelenk eignet sich auf Grund seiner Anatomie besonders gut für die Arthroskopie.
Knorpelzelltransplantationen
Bei der Autologen Chondrozyten-Transplantation (ACT-Verfahren) wird zunächst gesundes Knorpelgewebe entnommen, in einem Labor kultiviert und dann als Zellsuspension nach ca. 4 Wochen arthroskopisch unter den mit einem Knochenhautlappen abgedeckelten Knorpeldefekt gespritzt. Das Verfahren ist nur für kleiner Knorpeldefekte geeignet.
Bei der Knorpel-Knochen-Transplantation wird am seitlichen Oberschenkelknorren ein gesundes Tranplantat entnommen und danach zeitgleich mit Pressfit-Technik in einen Knorpeldefekt eingesetzt (z.B. am Knie oder Sprunggelenk).
Umstellungsosteotomien
Bei Gelenkfehlstellungen (X-oder O-Bein) kann durch eine operative Umstellung des Knochens der von der Arthrose betroffene Gelenkanteil entlastet werden.